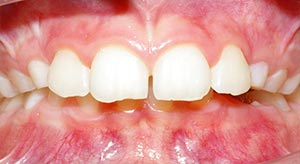
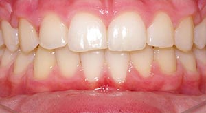
Before & After


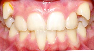
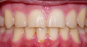
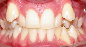
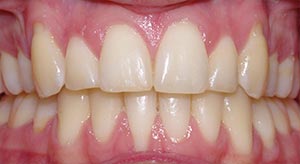
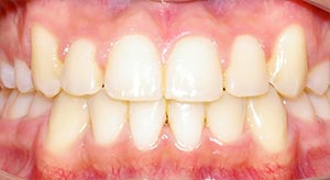
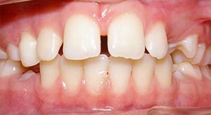
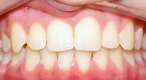
1st Bicuspid Extraction
Patient had severe crowding that caused a major shift in his bite. With use of an expander and extractions along with 30 months of braces, enough room was created to make a great smile.


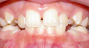
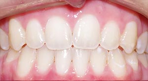
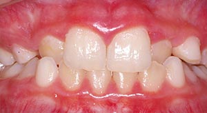
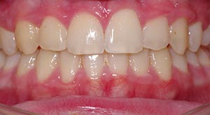
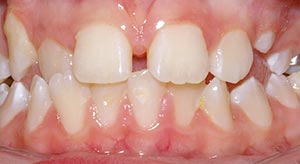
2nd Bicuspid Extraction
This patient’s front teeth were in a good smile position but had moderate crowding. Removal of two second premolars and braces allowed for crowding resolution and a fantastic result.


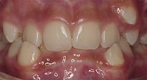
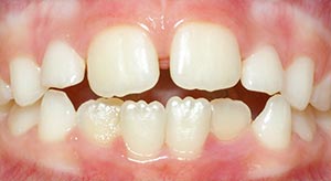
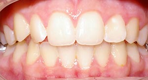
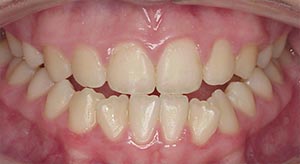
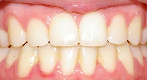
Blocked Out Canine’s
18 year old patient with such severe crowding that both canine teeth were blocked out. Extractions along with braces achieved that “Hollywood” smile.


Crossbite
Cross bite is when the upper teeth fit behind the lower teeth. At age 9 in his first phase of treatment the patient wore a removable appliance to correct his crossbite as well as an expander to direct his jaw growth. Braces were placed in Phase 2 at age 12 and he loves his new smile.


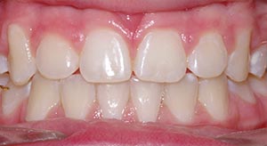
Deep Bite
Crowded teeth and an overlap of upper teeth over the lowers can lead to severe wear causing greater dental problems in the future. Removal of 4 permanent teeth and braces equals a great smile and a healthy bite for a lifetime.


Expansion
This patient had an upper jaw that was to narrow and didn’t fit well with her lower jaw. An expander was used in the upper arch to widen. We then placed braces for 24 months to straighten out her crooked teeth and close her spaces.


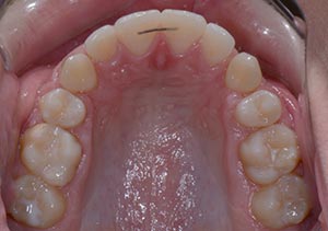
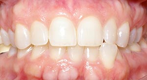
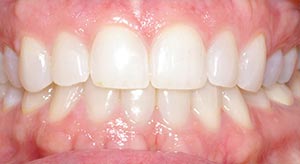
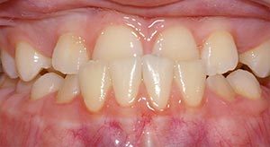
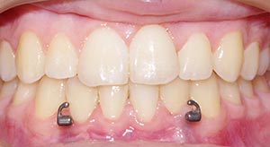
Impacted Canine’s
The canine teeth developed out of position well into this patient’s palate. These types of cases are very difficult to treat but the teeth can be moved into proper place for a great smile.


Invisalign
Alignment of patients upper teeth was opposite to curve of her lips and provided poor smile asthetics. 15 months of Invisalgn trays were used to provide a great smile.


Openbite
This patient started out with an appliance for Phase 1 of her orthodontic treatment to keep her tongue from pushing on her teeth (tongue thrust) which was causing an open bite. She followed up with Phase 2 teenage braces and ended up with a beautiful smile.


Over Bite w/ Twin Block
Patient presented with upper teeth to far forward of the lower teeth. We used a Twin Block appliance that he faithfully wore to bring the lower jaw into a more ideal position. We finished up with teen braces and ended up with a bite that is spot on.


Underbite Correction
This patient started her orthodontic treatment in 2001 when the only way to correct this type of bite was with jaw surgery after the patient’s growth is complete. Since then advances have been made that allow us to gain the same type of correction using only head gear at ages 5-7.


Underbite w/ Bollard Plates
This patient had a severe underbite that used to require jaw surgery to correct. If not treated before age 7, we can still avoid major surgery using Bollard Plates, a recent advance in jaw orthopedics. The use of elastics and braces at the proper age made jaw surgery unnecessary.


Over Jet Correction
Patient had thumb habit at an early age which caused teeth to stick out too far. Along with our wildly successful thumb habit program, a small appliance was placed to prevent the tongue from pushing her teeth farther forward. Phase 1 treatment was followed by 18 months of teenage braces along with headgear. Her ending result? A perfect bite to last a lifetime.

